
No todos saben qué es la artrosis, debido a esto, las personas se confunden en los métodos de tratamiento y no entienden los principios del diagnóstico de patología. La artrosis es una violación distrófica grave que provoca la lesión de los tejidos de cartílago en la cavidad intraarticular. La complejidad de la terapia se asocia con la irreversibilidad de los procesos, no se puede lograr una cura completa en el marco de la medicina moderna, pero la gravedad de los síntomas puede reducirse y la progresión de la patología puede disminuir. Con el tratamiento adecuado, una persona continúa el estilo de vida habitual durante mucho tiempo.
¿Qué es la artrosis?
Del mismo modo, es más simple que para la enfermedad la artrosis es una enfermedad de las articulaciones que provoca la restricción de la amplitud del movimiento y el dolor. En la primera etapa de daño, no hay manifestaciones, tienen una ligera gravedad y se lavan. Poco a poco, progresa la patología, esto se ve facilitado por los cambios relacionados con la edad en el cuerpo, el estrés, las lesiones, etc. Según las estadísticas, aproximadamente el 80% de la población de más de 60 años de artrosis.
La artrosis de la articulación se desarrolla durante mucho tiempo, inicialmente solo afecta el cartílago de la hialina, luego se propaga a los huesos, involucra la capa sinovial, los músculos y toda la cápsula articular. En la primera o temprana etapa de la artrosis, la lesión se manifiesta ligeramente: pequeños dolores después del trabajo duro, hinchazón, enrojecimiento de la piel. Debido a ignorar las sensaciones incómodas, la articulación está deformada, inflamada, trae dolor severo, su pico cae por la mañana. La enfermedad se caracteriza por la desaparición del dolor después del desarrollo de la articulación. Si no se trata, una persona pierde la movilidad de la articulación por completo.

Hay una forma primaria y secundaria de artrosis. La pseudo-artrosis (neoartrosis) también se distingue, no muchas personas saben lo que es, ya que se forma con menos frecuencia que otras variedades. La neoartrosis es una articulación falsa, por lo que el tejido del cartílago aumenta en un lugar inusual donde se obtuvo el daño. Es difícil de tratar, principalmente quirúrgicamente.
Existe una patología debido a los trastornos de la función regenerativa, la inmunidad o el daño mecánico. Debido a varias causas de cartílago, se vuelve más delgada. En condiciones normales, el tejido de cartílago recibe suficiente nutrición para la recuperación, pero después de un esfuerzo físico excesivo o debido a una violación de los procesos metabólicos, las telas no tienen tiempo para regenerarse. En la primera etapa, permanece la movilidad conjunta. Habiendo considerado lo que la artrosis es como definición, vale la pena profundizar con más detalle en el desarrollo de la patología.
El mecanismo de desarrollo de la artrosis, sus tipos
Se desarrollan muchas variedades de artrosis según un esquema similar:
- La lesión primaria afecta el cartílago hialino. En caso de trastornos circulatorios, se produce el deterioro del poder patológico. Es el primer paso o causa, que puede ocurrir artrosis.
- Patologías de recubrimiento de Hyalin. El adelgazamiento del cartílago conduce al reemplazo de sus tejidos patológicos: estructuras óseas.
- Los crecimientos anómalos aparecen en el cartílago - osteófitas.
- La violación de la anatomía natural del cartílago y los huesos provoca la sobrecarga de áreas saludables de cartílago. La destrucción de tejidos articulares sin tratamiento progresa constantemente y conduce a discapacidad.
Cuando aumenta el grado de enfermedad, los procesos patológicos aún se agravan. Al final, todo el cartílago de Hyalin se destruye.
El último grado de la enfermedad conduce a:
- participación en el proceso patológico de los huesos, debajo y por encima de las superficies cartilaginosas;
- irritación de una cubierta articular, que limita la movilidad, lo que conduce a una discapacidad de 2 grados;
- aumento de la densidad de la cápsula;
- Reduciendo la brecha en la brecha de la articulación, que se hace notable en la imagen. La etapa de la violación está determinada por el diagnóstico-tanténólogo. El paciente siente la complejidad o incapacidad para enderezar y doblar por completo la extremidad;
- La deformación articular, el cartílago adquiere una forma irregular, curvatura provocadora;
- deterioro en la condición del paciente con la destrucción completa de la articulación.
Etapas de la artrosis
La enfermedad articular tiene 3 etapas de desarrollo:

- 1 grado. Los trastornos morfológicos ya han comenzado, pero aún no son notables. La patología afecta principalmente la condición del líquido sinovial, que peor suministra tejidos de cartílago con componentes de nutrientes, reduciendo la resistencia del cartílago. La carga en las articulaciones provoca inflamación y dolor.
- Etapa 2. Debido a la deficiencia de suministro, se destruyen los cartuchos necesarios, se forman crecimiento óseo en la superficie del cartílago. Los dolores adquieren un personaje más pronunciado, intensificada después de un largo descanso, son eliminados por un pequeño trabajo físico. El dolor se acompaña de inflamación. Los músculos se estiran, lo que conduce a funciones motoras débiles o promedio.
- 3 grados. A menudo hay dolores, es difícil mover la extremidad debido a los cambios en la articulación. Las lesiones son extensas, se vuelven notables a la apariencia desnuda. Se produce la deformación del sitio articular, el área afectada se hincha y se vuelve roja. El eje de la extremidad está perturbado, lo que conduce a la complejidad del movimiento. Los cambios patológicos provocan acortar los ligamentos. Aparecen subluish y contracturas. Los músculos adyacentes se acortan o estiran, de los cuales se debilita la función contráctil.
Causas y factores de riesgo para el desarrollo de la artrosis
Las causas de la artrosis de las articulaciones difieren dependiendo de la forma de patología. La artrosis deformante de la articulación del codo, la articulación del tobillo y la artrosis del hombro a veces se desarrollan sin causas notables, es posible detectarlos con un médico, un especialista en reumatología. Si el problema no fue precedido por patologías visibles, la enfermedad se llama primaria. La forma secundaria de violación se diagnostica principalmente, puede provocar varios estados.
Las principales razones para el desarrollo:
- Daño mecánico: dislocaciones, fracturas, estiramientos, lesiones por menisco;
- Varios trastornos endocrinos asociados con el mal funcionamiento en el trabajo de inmunidad;
- patologías de metabolismo;
- displasia (anomalías congénitas de tejidos articulares);
- sufrió inflamación de las articulaciones;
- Patologías que conducen a una alta movilidad de las articulaciones y el debilitamiento de los ligamentos.
Los pacientes con artrosis a menudo encontraron una enfermedad debido a factores predisponentes:
- cambios relacionados con la edad;
- Peso ligero y aumento de IMC. La alta carga en la junta conduce a un desgaste de la junta rápida;
- falta de sustancias beneficiosas;
- Carga excesiva en las juntas. La razón es el entrenamiento intenso, los deportes, el trabajo físico duro;
- Condiciones de trabajo difíciles o un enfoque incorrecto de los deportes. Si hay antecedentes de una tendencia genética a dañar, lesiones articulares o enfermedades similares, es importante adherirse a un programa de entrenamiento especial, evitando ejercicios traumáticos y difíciles;
- El período postoperatorio de recuperación o operaciones complejas transmitidas asociadas con la escisión de una gran parte de las telas afectadas. Dichos estados afectan negativamente la suavidad y la fuerza del cartílago, la carga debe minimizarse en ellos;
- Tendencia genética, la artrosis se diagnostica con mayor frecuencia en pacientes que tienen parientes con la misma patología;
- La etapa de la posmenopausia, ocurre en mujeres durante aproximadamente 50 años, se asocia con cambios en el sistema endocrino;
- el efecto destructivo de las toxinas;
- mala situación ambiental en la región de residencia;
- Daño frecuente a la articulación, a veces las microgrietas no aparecen durante mucho tiempo;
- hipotermia;
- Patología de la parte lumbar y cervical de la columna vertebral.
Artrosis primaria

La artrosis primaria se forma independientemente, es decir, sin la influencia de ninguna causa interna o externa. La derrota se desarrolla a través del cartílago de Hyalin bastante lentamente. Raramente se diagnostica, representa solo el 3-5% de todos los casos.
Artrosis secundaria
La artrosis secundaria se detecta con mayor frecuencia por un orden del 95-96% de los casos. Son provocados por cualquiera de las patologías anteriores.
Signos y síntomas de la artrosis
Las manifestaciones de la enfermedad difieren poco dependiendo de la localización, con mayor frecuencia los signos se reflejan en las rodillas, los hombros y las articulaciones de la cadera, debido a la alta carga.
La mayoría de las quejas se reducen a:
- dolor. Tienen baja gravedad en la etapa inicial, con agravación del estado de sensación se intensifica. Inicialmente, las articulaciones duelen solo después de despertarse, después de una luz cálida, las sensaciones desaparecen. Con el tiempo, los dolores aparecen por la noche, perturban mucho durante y después de caminar, correr, etc. en la última etapa, el síndrome de dolor persigue a una persona todo el tiempo;
- Amplitud limitada de movimientos. La rigidez de las acciones indica cambios anatómicos en la estructura. Al principio se manifiesta por la mañana, luego los movimientos diarios son limitados. Para no provocar la agravación de la condición, el trabajo debe ser diverso y ligero, de lo contrario, el paciente no podrá desbloquear y exprimir la extremidad con el tiempo. Con el tiempo, existe el riesgo de contraerse, del cual una persona pierde la capacidad motor;
- Corona durante los movimientos: pertenece a las manifestaciones inespecíficas de la artrosis. La enfermedad se caracteriza por la aparición de crujido en una sola articulación (excepto la poliartrosis), acompañada de una incomodidad, dolor y acciones limitadas. La naturaleza de la corriente es similar a la ola: al principio se manifiesta débilmente, se intensifica gradualmente, pero en 3 etapas desaparece;
- hinchazón de enrojecimiento. Se localiza cerca de la articulación enferma, esto indica un proceso inflamatorio y progresión de la enfermedad. El médico entiende que la cubierta sinovial se ve afectada, esto provoca la acumulación de líquido y aumento del dolor;
deformaciones de la extremidad. Aparece en una forma descuidada de la enfermedad, indica la destrucción completa del tejido del cartílago y la aparición de osteofitos. En este estado, aumenta la presión sobre las articulaciones en la parte superior y inferior, desde la cual la curvatura puede afectar toda la extremidad.
Es importante recordar que la deformación de los huesos en la pierna a menudo se confunde con el maíz. El síntoma es poco peligroso solo a primera vista, pero conduce a graves consecuencias.
Complicaciones
Inicialmente, los métodos conservadores de terapia se utilizan para el tratamiento. Si son ineficaces o el paciente ignoró las recomendaciones del médico, existe un riesgo de consecuencias.
Posibles complicaciones:
- La articulación está completamente destruida;
- La extremidad está inmovilizada, cualquier movimiento se vuelve extremadamente difícil;
- hernias intervertebrales;
- discapacidad;
- Fuerte deformación de la articulación o toda la extremidad.
Diagnóstico de artrosis
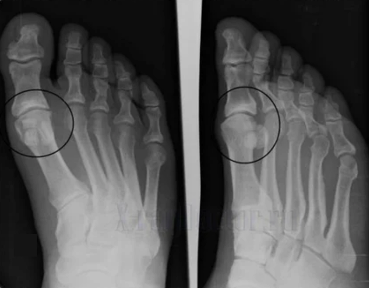
Para hacer un diagnóstico, los reumatólogos estudian las quejas del paciente y prescriben un examen X -Ray. La mayoría de las veces, la radiografía se usa en 2 proyecciones. El médico analiza la presencia de trastornos distróficos en el cartílago hialino y las articulaciones óseas. Si se reduce la brecha articular, los huesos se deforman o se aplanan, hay formaciones quísticas en la superficie del cartílago, los osteofitos son signos obvios de artrosis. Durante la inspección, la artrosis indica la inestabilidad de la articulación: el eje de las extremidades y la subluxación se altera.

A menudo, una imagen de rayos x no puede dar información completa sobre la condición de la articulación. Para un estudio más exhaustivo, se prescribe la tomografía computarizada, es efectivo para examinar los huesos. La resonancia magnética se usa con mayor frecuencia para estudiar tejidos blandos.
Durante el diagnóstico, se practica la participación de otros especialistas que ayudarán a determinar la causa raíz de la patología. A menudo recurren a la consulta de un hematólogo, endocrinólogo, ginecólogo, ortopédico.
Tratamiento moderno
Hay cientos de formas de terapia de artrosis, pero todos se reducen a una serie de métodos:
- Tratamiento farmacológico. La tarea principal es combatir los síntomas y evitar un mayor desarrollo de una violación. La mayoría de las veces, los analgésicos se usan para aliviar el dolor, los medicamentos antiinflamatorios no esteroidales para combatir la inflamación, los fármacos hormonales se prescriben para el dolor severo y la inflamación aguda. Cada curso se basa en condroprotectores que protegen los tejidos de cartílago de la destrucción, las sustancias naturales se usan para su fabricación;
- fisioterapia. Mejora la efectividad de las drogas, lucha con la inflamación, alivia los síntomas, acelera la regeneración del tejido. La terapia ultrasónica, eléctrica, magnética, magnética y láser. Esto también incluye baños de lodo, aplicaciones con materiales naturales, baños de radón;
- Educación física médica. Es útil tanto como una prevención como facilitar la condición. Después de los ejercicios físicos correctos, es posible eliminar completamente el dolor. Es útil visitar la piscina, participar en yoga y a menudo caminar;
- La terapia manual, el masaje ayudará en el tratamiento de la enfermedad, ya que contribuyen a la prevención de la curvatura de las articulaciones. Después de las lesiones, el terapeuta manual puede nivelar la articulación, evitando su fijación en la posición incorrecta. Después del masaje, se mejora el tono muscular, la circulación sanguínea se acelera;
- Nutrición adecuada. Una dieta saludable ayudará a enriquecer el cuerpo con nutrientes para el cartílago y reducir el peso corporal. Una gran masa aumenta el desgaste de las articulaciones;
- El tratamiento con resort de sanatorio fortalecerá las articulaciones. En el marco de la curación, se ofrecen sanatorios balneoterapia, terapia de ejercicio, procedimientos fisioterapéuticos, etc.;
- Terapia no tradicional. Para el tratamiento de la artrosis, se utilizan chozas, medicina neto-, afina y herbal, así como acupuntura y varias recetas populares;
- La intervención quirúrgica es la única forma de volver a la vida habitual en la tercera etapa de la enfermedad. EndoProthetics le permite reemplazar el cartílago del paciente con el implante. El único inconveniente de la operación es el alto costo. Un procedimiento es suficiente durante 15-20 años.
Medidas preventivas
Para que la artrosis de la articulación no se moleste en la vejez, se encuentra:
- Mantener un estilo de vida saludable;
- evitar cargas fuertes;
- observar una dieta;
- excluir hábitos malos;
- Realizar gimnasia diariamente;
- Sigue el peso.
La artrosis es una enfermedad peligrosa que es mucho más fácil de prevenir que la cura. Con la búsqueda oportuna de un médico y el cumplimiento de las reglas de tratamiento, el paciente podrá mantener un estilo de vida familiar durante mucho tiempo. La falta de terapia y la auto -medicación provocan la rápida agravación de la enfermedad y, en última instancia, discapacidad.

























